Telefon-Termin buchen

Edit Template
implateam-logo

Implantatservice für Ihre Praxis in Berlin

Flexibler, professioneller Implantatservice für Ihre zahnärztliche Praxis im Großraum Berlin.

Sie möchten Ihren Patienten die Implantatversorgung anbieten, ohne selbst die gesamte Implantatchirurgie oder Implantatprothetik durchführen zu müssen?

Wir bieten Ihnen die ideale Lösung, direkt in Ihrer Praxis – flexibel, professionell und wirtschaftlich attraktiv – keine Patientenabwanderung, sondern Patientengewinnung!

 

Dafür bieten wir eine sehr bequeme und wirtschaftlich attraktive Lösung:

Ein erfahrener Spezialist für Implantologie kommt direkt zu Ihnen – alles benötigte Material sowie qualifiziertes Assistenzpersonal werden auf Wunsch mitgebracht. Vollkommen stressfrei für Sie und unter Gewährleistung
einer bestmöglichen Versorgung für Ihre Patienten.

„Behalten Sie Ihre Patienten in Ihrer Praxis – wir bringen die Implantatversorgung direkt zu Ihnen, sicher, professionell und stressfrei.“

Expertise

All in one

In Ihrer Praxis

Leistungen

Implantatservice auf Knopfdruck – höchste Expertise direkt in Ihrer Praxis

Mit unserem Implantatservice bringen wir höchste Expertise direkt in Ihre Praxis. Jahrzehntelange chirurgisch-prothetische Erfahrung und die enge Zusammenarbeit mit führenden Implantatherstellern garantieren eine Versorgung auf Top-Niveau. Sie profitieren von einem echten Rundum-sorglos-Service: Organisation, Assistenz und Material werden vollständig gestellt, sodass Sie sich weder um Logistik noch um Abläufe kümmern müssen. Alles geschieht direkt in Ihrer Praxis – ohne zusätzliche Kosten, mit Erweiterung Ihres Behandlungsspektrums und maximalem Komfort für Ihre Patienten.

Unsere Leistungen sind so flexibel wie Ihre Praxisbedürfnisse: Von der mobilen Vollnarkose mit eigenem Anästhesieteam bis zur ambulanten Sedierung sorgen wir für sichere und entspannte Eingriffe. Dank moderner All-on-X-Sofortversorgung verlassen Patienten Ihre Praxis noch am selben Tag mit festsitzendem Zahnersatz. Die Anwendung innovativer PRF/PRGF-Eigenblutmembranen beschleunigt die Heilung und steigert die Behandlungserfolge. Abrechnung und Kostenerstattung laufen reibungslos durch unsere qualifizierte Begleitung, auch im Falle einer Leistungsablehnung. Ergänzend stehen unsere Zahntechniker bereit, um eine optimale Versorgung zu gewährleisten – wahlweise über unser eigenes Labor oder durch die Unterstützung Ihres vertrauten Partners.

So verbinden wir Fachkompetenz, Komfort und Wirtschaftlichkeit in einem Service, der Ihre Praxis aufwertet, Ihre Patienten begeistert und Ihnen neue Behandlungsmöglichkeiten eröffnet.

implateam-strahlende zaehne

Wir bringen die Implantologie zu Ihnen – professionell, mobil und Hand in Hand.

Implantologische Komplettversorgung direkt in Ihrer Praxis

Ihre Vorteile als Kooperationspartner

Die gesamte implantalogische Planung, Behandlung und anschließende prothetische Versorgung in Ihrem Haus, aus einer Hand. Die Vorteile für unsere Kooperationspartner liegen auf der Hand:

Der Implantationsspezialist kommt direkt in Ihre Praxis – warum Patienten wegschicken, wenn Sie die Lösung ins Haus holen können?

 
Dr. Axel T. Meier, Jahrgang 1965, ist seit 1990 als Zahnarzt in Berlin tätig und gehört zu den erfahrensten Implantologen der Region. Bereits die Markteinführung von Zirkonoxid bei Degudent hat er als ausgewiesener Experte begleitet und seine Kenntnisse über moderne Zahnkeramiken viele Jahre im europäischen Ausland unterrichtet. Seit über drei Jahrzehnten liegt sein Schwerpunkt auf Komplettbehandlungen in ambulanter Vollnarkose oder Sedierung – eine Erfahrung, die er nun direkt in Ihre Praxis bringt.
 
Bereits die Markteinführung von Zirkonoxid bei Degudent hat er als ausgewiesener Experte begleitet und seine Kenntnisse über moderne Zahnkeramiken viele Jahre im europäischen Ausland unterrichtet.
 
Seit über drei Jahrzehnten liegt sein Schwerpunkt auf Komplettbehandlungen in ambulanter Vollnarkose oder Sedierung – eine Erfahrung, die er nun direkt in Ihre Praxis bringt.
 
Stellen Sie sich vor: Ihr Patient erhält die gesamte Implantatbehandlung in gewohnter Umgebung, ohne Ortswechsel, ohne Bruch in der Betreuung – und Sie als Zahnarzt behalten die volle Bindung zu Ihren Patienten, während ein Spezialist die operative Verantwortung übernimmt.
dr axel meier

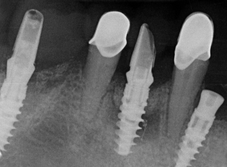
Beispiele unserer Arbeit

Warum Patienten wegschicken, wenn der Spezialist zu Ihnen kommt? Mit unserem Implantatservice erhalten Sie chirurgisch-prothetische Spitzenkompetenz direkt in Ihrer Praxis – inklusive Organisation, Assistenz und Material. Stressfrei für Sie, komfortabel für Ihre Patienten und wirtschaftlich attraktiv für Ihre Praxis. Entdecken Sie außerdem Beispiele unserer Arbeit, die zeigen, wie erfolgreich und überzeugend unser Service in Berliner Praxen umgesetzt wird.

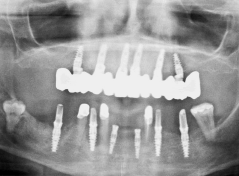
Periimplantitis PSA

 
Implantat Pos 34 
mit massivem Knochenabbau

Postoperativ

EB Aufnahme nach Ausräumung der Periimplantitis
und Knochenaufbau mit reverse-thermoplastischem Ersatzmaterial

Kompetenz trifft Zufriedenheit – der nächste Schritt in die moderne Zahnmedizin

hre Patienten wünschen sich Sicherheit, Vertrauen und höchste Behandlungsqualität – und genau das bietet die Zusammenarbeit zwischen Ihrem Praxisteam und unserem mobilen Implantatservice. Dr. Axel T. Meier bringt jahrzehntelange implantologische Erfahrung direkt in Ihre Praxis und wird von einem eingespielten Team unterstützt, das Organisation, Assistenz und modernste Technik mitbringt.

So erhalten Ihre Patienten die gesamte Implantatbehandlung in vertrauter Umgebung, während Sie Ihr Spektrum um moderne Verfahren erweitern – ohne zusätzliche Belastung der Praxisabläufe. Das Ergebnis: medizinische Kompetenz, zufriedene Patienten und ein klarer Schritt in die Zukunft der Zahnmedizin.

implateam-behandlung

Jetzt Kooperation anfragen

Nutzen Sie die Chance, Ihren Patienten den Vorteil
„Alles in einer Praxis“ zu bieten – ohne Risiko, ohne Investitionen.

Email

info@implateam.de

Telefon

+49 (0)30 3377 1311

Adresse

Skalitzer Str. 15 10999 Berlin

Jetzt Kooperation anfragen

Nutzen Sie die Chance, Ihren Patienten den Vorteil
„Alles in einer Praxis“ zu bieten – ohne Risiko, ohne Investitionen.

Email

info@implateam.de

Telefon

+49 (0)30 3377 1311

Adresse

Skalitzer Str. 15 10999 Berlin

Flexibler, professioneller
Implantatservice

Kontakt

Flexibler, professioneller
Implantatservice

Kontakt

Pic 7

© 2026 Implateam